The gums are often taken for granted, but these tissue structures are the foundation of your smile. Without the appropriate dental care and oral hygiene, the gums can become infected, causing loose teeth, discomfort, and bad breath. The more severe cases of gum infection can even threaten the stability of your teeth. At Dental Healing Arts, we can treat various gum conditions with laser gum treatment for decreased pain and more effective results.
What Causes Gum Infections?
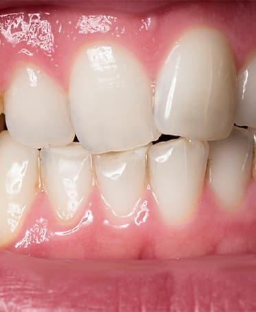
Gum infections (also known as gum disease or periodontitis) result from an accumulation of bacteria on the teeth and just below the gum line. Whenever you eat or drink, small amounts of debris and sugar remain on your teeth creating a biofilm. This bacterial biofilm will be the precursor of gum disease, if you do not brush your teeth thoroughly and frequently enough. This prefect bacterial breeding ground releases toxins that will aggravate the gums, causing inflammation, bleeding and eventual bone loss.

Why Use Laser Gum Treatment?
Historically, the standard treatment for gum disease involved cutting the gums, scraping away layers of plaque and tartar from the teeth with specialized tools, and placing sutures over the area. Most often, this caused unpleasant esthetic results with long-looking teeth. In some cases, gum grafting was needed to restore lost tissue and improve appearance. Thanks to advancements in laser technologies, laser gum treatments like LANAP®, Fotona TwinLight Periodontal Treatment®, and Waterlase Repair™ were created to avoid the pitfalls of traditional gum surgery. We can now use lasers to eliminate bacterial growth from the teeth and gums while stimulating bone regeneration.
What are the Benefits of Laser Gum Treatment?
- Effective and long-lasting
- Virtually painless healing
- Most often no cutting and no sutures
- More comfortable than traditional options
Are You Interested in Laser Gum Treatment in Jupiter, Florida?
Our goal is to offer the most effective treatments while reducing discomfort and eliminating any long-term risks to your health. If you want to learn more about our biologic approach to periodontal care, give us a call today!

