Discover Excellence in Cosmetic & Holistic Dentistry In Jupiter, Fl.
Precision Dentistry. Whole-Body Healing. Natural Aesthetics

Featured Dental Services
Jupiter's Top-Rated Dentist With A Natural Approach to Family and Cosmetic Dentistry

Smile Makeover

Holistic Dentistry

Cosmetic Dentistry

Airway Orthodontics

Invisalign™

Dental Implants

The Dental Healing Arts Philosophy
- Advanced technology, master-level cosmetic expertise, surgical accuracy, ceramic implants, laser dentistry.
HOLISTIC HEALING
Biologic dentistry, ozone therapy, metal-free materials, airway health, root-cause awareness.NATURAL AESTHETICS
Smile design, facial harmony, subtle aesthetics, natural beauty, bespoke results.

Natural Results Begin with Intelligent Design
What Our Patients Say
Top Rated Cosmetic Dentistry & Dental Implants In Jupiter, FL.


Video Testimonials
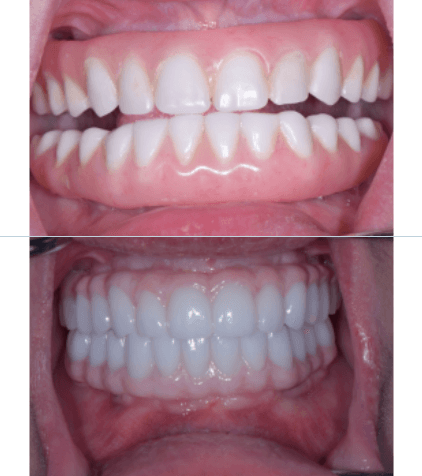
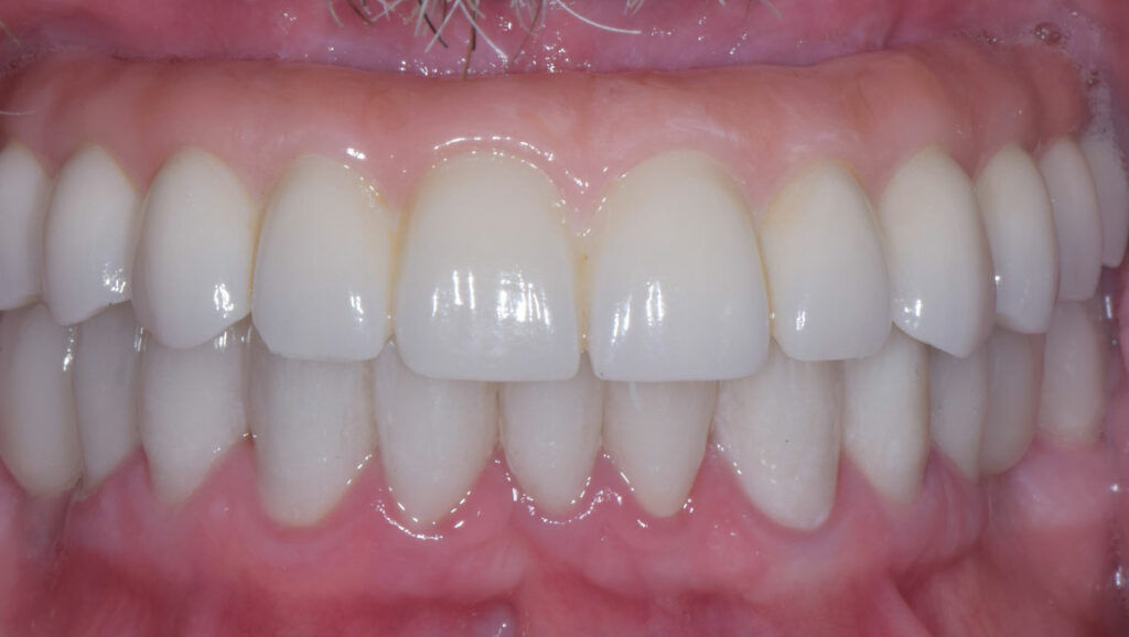
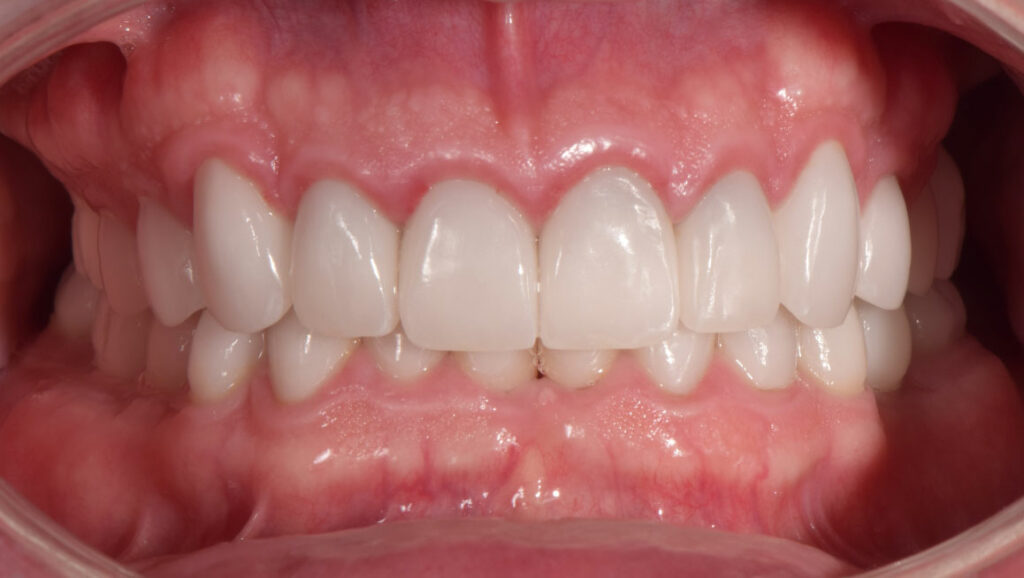
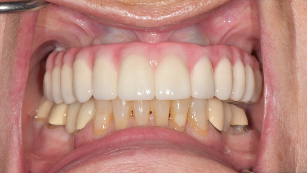
Smile Gallery
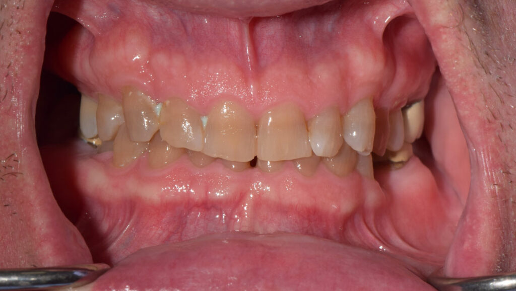
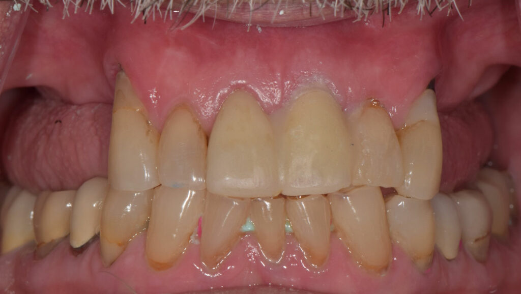
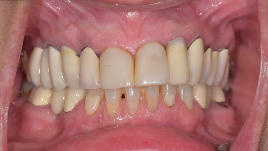
BEFOREAFTER
BEFOREAFTER
BEFOREAFTER
BEFOREAFTER
BEFOREAFTER
BEFOREAFTER

Meet Ilona Fotek, DMD, MS
Biologic & Cosmetic Dentist
Meet Paul Fotek, DMD, MS
Board-Certified Periodontist & Dental Implant Surgeon

PROUDLY PARTNERING WITH






Find Us
Jupiter, FL 33458
Sat - Sun: CLOSED

FAQs About Our Customized Dental Services in Jupiter, FL.
What makes "Biologic" or "Holistic" dentistry different?
Traditional dentistry often focuses solely on the symptoms within the mouth. Biologic dentistry recognizes that every material and procedure used in your mouth affects your entire body. We prioritize biocompatible, metal-free materials, utilize ozone therapy to eliminate bacteria naturally, and follow strict protocols (SMART) for the safe removal of mercury amalgams to protect your systemic health.
Are ceramic (metal-free) implants actually as strong as titanium?
It’s a common worry—can a ‘ceramic’ really hold up as well as metal? The short answer is a firm yes. We use high-grade Zirconia, which is tough enough for the heavy lifting of back teeth but looks completely natural. Since it’s non-metal, you won’t have to worry about allergies or that distracting dark shadow near the gumline that usually happens with old-school titanium implants.
What exactly is Digital Smile Design (DSD)?
Think of it as a virtual ‘test drive’ for your face. Before we ever pick up a tool, we use 3D scans to map out how a new smile will look on you. It’s a collaborative process—we’ll look at the digital blueprint together and tweak things until the proportions feel exactly right for your features. It takes the guesswork out of the way so you can see the end result before we even start.
Why do you use PRF (Platelet-Rich Fibrin) in oral surgery?
PRF sounds high-tech, but it’s actually quite simple: we’re using your own body to help you heal. We take a small sample of your blood, concentrate your natural growth factors, and place that ‘healing patch’ directly on the surgical site. Our patients usually notice way less soreness and significantly faster recovery times because their own cells are doing the heavy lifting.
Can you really help with snoring and sleep apnea?
We can, and we look at it from a structural perspective. Instead of just giving you a machine to wear, we investigate why your breathing is being interrupted in the first place—whether it’s jaw alignment or soft tissue. Treatments like NightLase® can help tighten tissues and open things up so you can actually get a restful night’s sleep without the struggle.
How do you make sure mercury removal is safe?
Mercury is something we take very seriously. We follow the strict SMART protocol, which is essentially a series of safety layers—like high-volume air filters and protective barriers—to ensure that you (and our team) don’t breathe in any toxic vapors while we replace those old silver fillings. It’s all about giving you a cleaner mouth without the risks.